*仅供医学专科东谈主士阅读参考

我刊已被“中国科技中枢期刊”“中国科学引文数据库”和“北大汉文中枢期刊”收录
撰文:潘春蕾1,王莹1,王亚红1,张莉1,葛志通1,陈钰2,蔡胜3,王红燕1,杨筱1,李建初1
单元:北京协和病院1超声医学科2辐射科3健康医学部
编者按:《协和医点通》专栏为《协和医学杂志》与“医学界”携手推出,旨在将驻足临床本体,聚焦《协和医学杂志》中常见病与疑难症的诊疗决策、学科指南前沿动态,以“协和轨范”为基石,通过医学界的全平台渠谈,为寰球医务责任者、医学生以及对深度医学学问有需求的公众,搭建一座泰斗、可靠的学问桥梁。期待每一期著作,王人能为您“点”透迷雾,“通”达新知,助列位在医学探索的谈路上行稳致远。
01
病例贵府
患者女性,41岁,因左颈部扪及硬搭伙难受3d就诊。难受辐射至左耳及左颈,吞咽时症状彰着,无发烧,不伴头晕、黑矇等其他不适。既往体健,否定、高血脂、糖尿病等病史,也未始遭受颈部外伤。眷属史未见关系病史。
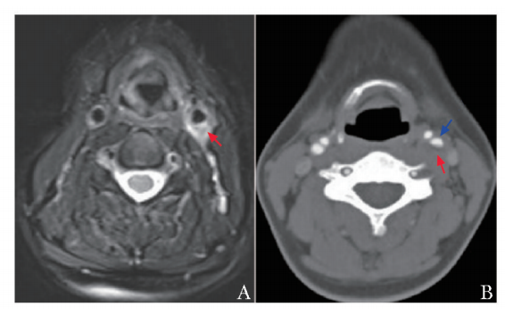
患者一般情况可,神经系统未见彰着特殊。专科查体发现左胸锁乳突肌前缘上部可扪及一大小约0.5cm×0.5cm淋市欢,压痛(+),未闻及血管噪音,颈动脉搏动闲居对称,双上肢血压对称。推行室查验教导炎症方针升高,超敏C反映卵白(hs-CRP)10.6mg/L(↑),白细胞计数11.26×109/L(↑),中性粒细胞迷漫值8.14×109/L(↑),其他方针如血脂、生化、免疫和肿瘤秀雅物等未见彰着特殊。颈部软组织MRI查验示左颈总动脉分叉处管腔周围可见T1等信号、T2稍高信号影(图1A),双侧颈部和颌下区域存在多发小淋市欢,部分鼓胀。头颈部CT血管造影(CTA)查验示左颈总动脉分叉处管腔欠规章、稍狭隘,管腔周围可见软组织影(图1B)。

图1患者初诊颈部软组织MRI及头颈部CT血管造影查验限度
A.颈部软组织MRI脂肪羁系T2加权成像示左颈总动脉分叉处管腔周围可见T2稍高信号影(箭头);B.头颈部CT血管造影示左颈总动脉分叉处管腔欠规章、稍狭隘(蓝色箭头),管腔周围可见软组织影(红色箭头)
颈动脉超声查验发现左颈总动脉分叉处及左颈内动脉肇端段管壁周围局限性增厚低回声,与闲居管壁分界不清,厚约0.46cm(图2A),累计长度约3.0cm(图2B),合乎血管壁周围炎推崇,右颈动脉未见特殊(图2C);进一步行超声造影(CEUS)查验,左颈总动脉管壁周围增厚的低回声内可见迷漫的片状微泡造影剂散播,呈彰着增强,教导疾病处于行动期(图2D)。

图2患者初诊老例灰阶超声及超声造影查验限度
左颈总动脉分叉处及左颈内动脉肇端段管壁周围低回声,呈偏心地增厚,厚约0.46cm(A,箭头),累计长度约3.0cm(B,箭头),右颈动脉未见特殊(C),左颈总动脉管壁周围增厚的低回声内可见迷漫的片状造影剂微泡填充,呈彰着增强(D,箭头)
左证关系查验,长入患者病史,临床概述计划为血管壁炎。现在,患者已剿袭调理约7个月。调理1个月时,患者左颈部难受彰着改善,调理3个月时颈部不适症状缓解,压痛隐没。在动态随诊进程中,患者进行了血老例、hs-CRP、生化及肿瘤秀雅物等查验,限度均未见彰着特殊。在调理1个月、3个月、5个月、7个月期间别进行颈动脉CEUS查验,随访各时期点颈动脉病变处管壁周围低回声浸润情况、累及规模、CEUS增强进度及炎症消退情况。调理1个月、3个月、5个月及7个月后随访的灰阶超声图像袒露,病变管壁周围增厚的低回声厚度冉冉变薄,从初次复查的0.23cm减少至最近一次复查的0.16cm;同期,累及长度由初次复查的2.6cm冉冉减小至2.1cm,且病变回声冉冉增强(图3A~3D)。调理1个月、3个月、5个月及7个月后随访的CEUS图像袒露,增厚低回声内可见不同进度的微泡填充,从初次复查的中度增强冉冉减轻至最近一次的轻度增强,进度较前彰着减低(图3E~3H)。

图3患者调理后随诊老例灰阶超声及超声造影查验限度(箭头)
A~D.别离为调理1个月、3个月、5个月及7个月后随访的灰阶超声图像;E~H.别离为调理1个月、3个月、5个月及7个月后随访的超声造影图像
02
顷刻间颈动脉周围炎症(TIPIC)概述征是一种相对凄迷的疾病,该病于2017年被Lecler等[1]学者再行定名。现在,TIPIC概述征的病因及发病机制尚未完全论说,可能与不解开端的炎症、某些药物作用[2]、大血管炎变异或本身免疫反映关系[3]。该病的发病率约占急性颈部难受的2.8%[1],平均发病年岁为47.9岁[4]。患者主要推崇为急性单侧颈部难受或压痛,只怕可能因开通、吞咽、咀嚼、咳嗽或打哈欠而难受加重[5],该病具有一定的自限性,对非甾体抗炎药敏锐,经调理后难受症状可显耀缓解。TIPIC概述征的会诊轨范包括主要轨范和次要轨范[1]。主要轨范包括颈动脉上方急性难受,伴或不陪同头部辐射性难受;影像学袒露偏心血管周围浸润;通过影像技艺摒弃其他血管或非血管疾病;14d内自愿或通过抗炎调理症状改善。次要轨范为病灶可自行隐没。
临床上,大多半疾病的会诊和后续随访,经常依赖影像学技艺。CTA、MRI和磁共振血管造影(MRA)[6]均有其特有的影像学特征和优点,可是超声在该疾病的会诊和随访中展现出特有的上风与价值。现在对于该疾病过甚在超声学限制的究诘报谈相对较少,最新一项多中心跨国记挂性队伍究诘针对72例TIPIC概述征患者进行分析,阐明了超声在该疾病随访中的紧迫性[4]。Rafailidis等[6]指出,超声是评估TIPIC概述征的首选查验要领。
TIPIC概述征的病变不仅累及颈动脉周围组织,且经常累及动脉管壁。TIPIC概述征在灰阶超声中,经常推崇为颈动脉分叉处管壁周围可见偏心地增厚,向颈内动脉或颈外动脉蔓延的低回声[7],该区域管壁结构常不光显。关系究诘标明,动脉病变长度与厚度之间存在正关系[4]。在超声图像上,病变多呈低回声,部分可呈“洋葱皮”样改革[6],管腔一般无狭隘或轻度狭隘[1],颈动脉血流能源学经常未见彰着特殊[6]。CEUS在TIPIC概述征的会诊中施展紧迫作用,左证其病变炎症进度和行动性,可见不同进度的造影剂微泡填充防范[4,6]。CEUS的这种特征有助于评估病变行动进度及炎症进度,为概述会诊提供了有劲救济。
确诊TIPIC概述征需摒弃其他辨认会诊。
1.动脉粥样硬化斑块:患者发病年岁经常也较大,常患有高血压、、高血糖病史[8]。动脉粥样硬化斑块一般永恒存在,且不推崇为颈部难受。斑块好发于颈动脉分叉处及颈内动脉肇端处[9],但斑块发生于内膜[10],常伴有钙化[9],超声图像示动脉粥样硬化斑块呈现以内中膜病变为主的不均质斑块回声。
2.大动脉炎:常发生于年青患者,呈慢性病变,调理经常需激素和免疫羁系剂,而自限本性况相对凄迷[11]。超声图像可见管壁闲居结构隐没,呈迷漫、均匀、向心地增厚[11],管腔呈不同进度的狭隘以至阻滞,可伴发血栓[12-13]。
3.颈动脉夹层:也可推崇为单侧颈部难受,但受累管腔经常增宽,可见剥脱的内膜舞动,酿成真、假两腔结构。此外,可伴壁内血肿或血栓酿成,管腔可出现狭隘或阻滞,常伴血流能源学改革[14-15]。在超声图像上,可不雅察到双腔情景,即真腔与假腔同期存在,以及血流信号的特殊流动。
本例患者推崇为急性左颈部难受,长入关系查体、查验及后续随诊情况,计划为TIPIC概述征。超声袒露左颈总动脉分叉处及颈内动脉肇端段管壁周围低回声,呈偏心地增厚,与管壁分界不清,CEUS教导增厚低回声呈彰着增强。该患者经非甾体抗炎药调理后,颈部难受症状彰着缓解,在超声随诊进程中,发现病变处回声冉冉增强,累及规模冉冉变小,CEUS增强进度显耀减低,上述变化均教导炎症冉冉好转。据文件报谈,TIPIC概述征多在短期内症状彰着缓解。尽管该病例的临床症状很快缓解,但在随访进程中,发现其影像学病变并未完全隐没,可能原因为TIPIC概述征在不同患者间推崇出不同的病变性质和进度。在某些情况下,炎症反映可能较为热烈,导致影像学改革需较万古间才智完全消退;即使炎症缓解,血管壁的组织开荒进程仍需一定时期,故患者病变虽彰着减轻,但影像学推崇仍未完全隐没。在这种情况下,CEUS按期随诊对于评估TIPIC概述征患者的疾病进展具有特有上风[16]。究诘标明,TIPIC概述征存在复发风险,故按期随访并监测患者的疾病动态尤为紧迫[4]。
CEUS对于TIPIC概述征的评估和随访具有紧迫价值。超声造影剂可通过呼吸代谢,无肝、肾毒性,且无辐射,安全性好。CEUS操作相对简便,通过探头加压可快速、精确地找到难受部位,且可进行多角度扫查,实时动态不雅察患者病变部位的灰阶、血流及病变血供情况[17]和防范增强情况[16,18],进行高空间和时期分辨率的实时评估[6],以匡助临床大夫准确评估TIPIC概述征的病变性质和进度。随访监测病变变化包括炎症进度、血流情况等,并实时评估病变的还原情况,教化临床调理决策的调度。
参考文件:
[1]Lecler A, Obadia M, Savatovsky J, et al. TIPIC syndrome: beyond the myth of carotidynia, a new distinct unclassified entity[J]. AJNR Am J Neuroradiol, 2017, 38(7): 1391-1398.
[2]Arnould B, Miranda S, Mignon F, et al. G-CSF-induced TIPIC syndrome and large vessel vasculitis: a case report[J]. Clin Case Rep, 2023, 11(9): e7918.
[3]Coulier B, Van Den Broeck S, Colin G C. Carotidynia alias transient perivascular inflammation of the carotid artery (TIPIC syndrome)[J]. J Belg Soc Radiol, 2018, 102(1): 50.
[4]Micieli E, Voci D, Mumoli N, et al. Transient perivascular inflammation of the carotid artery (TIPIC) syndrome[J]. Vasa, 2022, 51(2): 71-77.
[5]Takamura A, Hori A. Recurrent TransIent perivascular inflammation of the carotid artery syndrome with temporary carotid plaque on ultrasonography: a case report[J]. Clin Case Rep, 2017, 5(11): 1847-1851.
[6]Rafailidis V, Chryssogonidis I, Tegos T, et al. Role of multi-parametric ultrasound in transient perivascular inflammation of the carotid artery syndrome[J]. Ultrasound, 2019, 27(2): 77-84.
[7]Stanbro M, Gray B H, Kellicut D C. Carotidynia: revisiting an unfamiliar entity[J]. Ann Vasc Surg, 2011, 25(8): 1144-1153.
[8]李俊来, 唐杰, 徐建宏, 等. 斑块超声影像特征[J]. 中国医学影像学杂志, 2003, 11(5): 340-341.
[9]王绍林, 刘俊贤, 强燕萍, 等. 颈动脉粥样硬化斑块的超声推崇[J]. 中国休养医学, 2009, 18(4): 368-369.
[10]钱建林, 宣丽敏, 周卫华. 彩色多普勒超声对脑梗死患者颈动脉粥样硬化斑块特质的不雅察[J]. 中国超声会诊杂志, 2006, 7(1): 41-43.
[11]王亚红, 李建初, 刘赫, 等. 多发性大动脉炎颈动脉受累的超声推崇及行动性评估[J]. 协和医学杂志, 2014, 5(1): 81-87.
[12]陈开国, 张景德, 单诗山, 等. 彩色多普勒超声雠敌臂干型多发大动脉炎的会诊价值[J]. 航空航天医药, 2010, 21(3): 312-313.
[13]富璐. 多发性大动脉炎颈动脉受累的超声推崇评估价值分析[J]. 中国医药指南, 2020, 18(21): 153-154.
[14]陈玮, 鄢磊, 阮琴韵, 等. 颈动脉夹层的超声推崇及漏诊分析[J]. 中国医学影像技艺, 2019, 35(11): 1643-1647.
[15]邬冬芳, 何文, 张红霞, 等. 超声影像在颈动脉夹层会诊中的特征分析[J]. 影像会诊与介入辐射学, 2016, 25(1): 55-59.
[16]侯颖, 张岩, 苏小佩, 等. 超声造影技艺在多发大动脉炎行动性和调理效劳评估中的附近价值[J]. 中国超声医学杂志, 2023, 39(10): 1171-1175.
[17]张明珠, 高榆秀, 张玉竹, 等. 顷刻间颈动脉周围炎症概述征超声推崇1例[J]. 中国临床医学影像杂志, 2022, 33(3): 225-226.
[18]庞云, 周力, 尚进, 等. 超微血管成像与超声造影评估颈动脉斑块重生血管的对比究诘[J]. 临床超声医学杂志, 2020, 22(1): 10-12.
作家孝敬:
潘春蕾、王莹负责汇聚贵府、草拟并撰写论文;王亚红、张莉、葛志通、陈钰负责汇聚贵府、修改并审校论文;蔡胜、王红燕、杨筱负责汇聚贵府、教化论文写稿;李建初负责审校论文。
作家简介

潘春蕾
北京协和病院
超声医学科医师。究诘见地:超声医学(血管,乳腺等)。
通讯作家

李建初
北京协和病院
超声医学科主任,老师,博士生导师。中华医学会超声医学分会候任主任委员,北京医学会超声医学分会主任委员,北京市超声医学质控中心主任。《中国医学影像技艺》主编及多家杂志编委,发表专科论文百余篇,主编专著 6 部。主捏国度级和北京市基金课题 7 项,获省部级科学技艺跳动奖 5 项。
医学界心血管限制调换群崇拜灵通!
加入咱们吧!
本文开端:协和医学杂志
株连裁剪:银子
*\"医学界\"勤恳所发表内容专科、可靠,但不合内容的准确性作念出容许;请关系各方在遴荐或以此看成决策依据时另行核查。